Radiologischen Privatpraxis
Fachärztin May Robaa
Privatpraxis für MRT
Untersuchungen im Herzen von Leipzig
Fachärztin May Robaa heißt Sie Willkommen
Ich bin Fachärztin für Radiologie und Ihr Ansprechpartner für eine MRT-Untersuchung
in Leipzig.
Neben den knappen Wartezeiten, kurzfristigen Terminvergaben
und der zuvorkommenden Betreuung, biete Ich Ihnen eine hochwertige und individuelle Diagnostik
auf höchstem Niveau bei modernster gerätetechnischer Ausstattung
an.
Zeitnahe Terminierung nach Ihren Wünschen
Dank unseres Systems sparen Sie wertvolle Zeit und können sehr kurzfristig einen Termin für Ihre MRT Untersuchung
erhalten.
Freundlicher Support
Unser Team gewährleistet Ihnen einen reibungslosen Ablauf und unterstützt Sie hierbei gern in folgenden Sprachen
Kontakt aufnehmen
Anmeldung:
Deutsch, Englisch
Behandlung und Befundung:
Deutsch, Englisch, Französisch, Arabisch
Hotline für Terminierung und Fragen
Öffnungszeiten:
Termin Vereinbarung
Mo.–Fr.: 08:00 - 16:00 Uhr
und nach Vereinbarung
Sie können darüber hinaus den zentralen Terminierungsservice in Anspruch nehmen und außerhalb dieser Zeiten eine Nachricht auf Band hinterlassen. Wir rufen Sie dann umgehend zurück
Wir freuen uns auf Ihre Anfrage
Tel.: 0341 928 80 45
Fax: 0341 221 79 799
E-Mail: m.robaa@radiologie-leipzig.com
Diagnostikangebot
MRT-Untersuchungen aller Arten für
- Privat (PKV)
- Berufsgenossenschaft (BG-Fälle )
- Selbstzahler (SZ)
Möchten Sie näheres über die Preise für Ihre MRT-Untersuchungen erfahren?
Die Praxis
Privatpraxis May Robaa im Herzen von Leipzig freut sich darauf, Sie in angenehmer Atmosphäre begrüßen zu dürfen. Mit unser neuestes MRT-Gerät und mit moderner IT-Infrastruktur, schaffen wir eine optimale Voraussetzungen für eine bestmögliche
Untersuchung
und Befundung.
Die Praxis
Diagnostische Leistungen
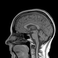
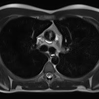
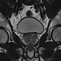
MRT-Untersuchungen
gehören seit Jahren zu den am häufigsten genutzten Verfahren der Radiologie. Die Magnetresonanztomographie erlaubt es, eine Vielzahl von Indikationen
zu untersuchen. Unten stehenden Abbildungen verschafft Ihnen Informationen zu den häufigsten MRT-Untersuchungen, welche in unserem Diagnostikzentrum Leipzig
durchgeführt werden. Wählen Sie zunächst in der Übersicht die betroffene Körperregion (z.B. Schädel-MRT). Wir haben die meisten an uns gestellten Fragen im FAQ-Bereich
zusammengefasst. Gern können Sie uns auch telefonisch
oder persönlich
Vorort kontaktieren
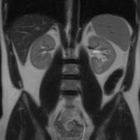
Bauchraum MRT
MRT für: Bauchspeicheldrüse, Darm / Sellink-Technik, Gallenblase und -gänge, Harnwege, Leber, Lymphknoten, Magen/Zwölffingerdarm, Milz, Niere- und Nebenniere, ...
Klicken Sie um näheres zu erfahren!
Vorsorgeuntersuchungen und spezielle Angebote in Leipzig
Ihre Gesundheit liegt uns am Herzen. Deswegen arbeiten wir zusammen mit unseren kooperierenden Partnerpraxen beständig daran, unser Angebot über das Routinespektrum hinaus zu erweitern und Ihnen als Patient ein optimales radiologisches Angebot auch für Ihre Vorsorge anzubieten.
Es handelt sich hierbei in der Regel um eine Selbstzahlerleistung. Für weitere Informationen kontaktieren Sie uns
Ganzkörper, Gedächtnisprobleme, Laufsporttauglichkeit, Prostatakrebs, Schlaganfallrisiko, u.v.m.
Nähere Info
















